Top 2 Palatal Prosthetics in Canada, 2026
Published on Monday, February 2, 2026
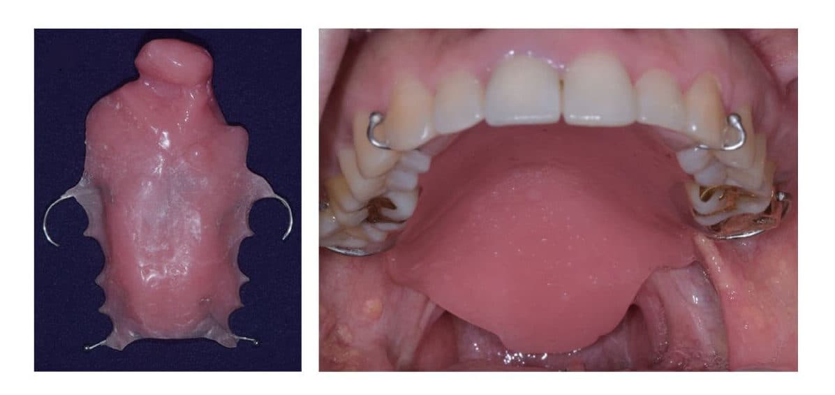
Palatal prosthetics refer to artificial devices used to replace or restore the function and aesthetics of the palate. These prosthesis play a crucial role in helping individuals who have undergone palate surgery or have congenital defects affecting the palate to speak, chew, and swallow effectively. The demand for palatal prosthetics in Canada has been steadily increasing due to advancements in technology, which have led to more comfortable and natural-looking solutions. Consumers in the Canadian market are increasingly seeking palatal prosthetics that not only improve their oral function but also enhance their overall quality of life by boosting their confidence and self-esteem.
Top Picks Summary
Optimal fit, biocompatible materials, natural feel, and enhanced speech and eating functionality.
Understanding Palatal Prosthetics
Palatal prosthetics can transform the lives of individuals with oral defects by restoring function and aesthetics. Here, we highlight key insights and information on their benefits.
Palatal prosthetics help enhance speech by filling gaps and providing needed structure, ensuring clearer communication.
They significantly improve the ability to chew and swallow, which can lead to better nutritional intake and health.
Modern materials utilized in palatal prosthetics mimic the natural palate's appearance, boosting self-esteem and confidence.
Studies indicate that patients with palatal prosthetics report higher satisfaction with their oral function compared to those without.
Technological advancements in dental prosthetics contribute to better fitting, comfort, and overall user experience.
Research shows a positive psychological impact on individuals using palatal prosthetics, enhancing social interactions and quality of life.
Frequently Asked Questions
What is the best top 2 palatal prosthetics, 2026?
As of April 2026, Oral Dynamics Palatal Obturators is the top choice for top 2 palatal prosthetics, 2026 in Canada. The Oral Dynamics Palatal Obturators are designed to deliver exceptional comfort and effectiveness for patients requiring oral rehabilitation. These devices are crafted from high-quality materials, ensuring durability and a perfect fit. What sets them apart is their customizability, allowing dental professionals to tailor the obturator according to individual patient needs. Additionally, their innovative design promotes easier speech and swallowing, making them ideal for various clinical applications.
What are the key features of Oral Dynamics Palatal Obturators?
Oral Dynamics Palatal Obturators features: Custom-fit design for comfort, Effective for speech and swallowing, Durable materials for long-term use.
What are the benefits of Oral Dynamics Palatal Obturators?
The main benefits include: Comfort-enhancing fit 👌, Speech-helper wizardry ✨, Taste of freedom 🍽️.
How does Oral Dynamics Palatal Obturators compare to Servox Inton Speech Aid?
Based on April 2026 data, Servox Inton Speech Aid has a higher rating (4.6/5 vs 4.5/5). However, Oral Dynamics Palatal Obturators offers competitive value with Custom-fit design for comfort, making it a better choice for those who prioritize these features.
Conclusion
In conclusion, choosing the right palatal prosthetics can significantly improve your quality of life in Canada. We hope this guide has provided you the information you were looking for. Feel free to use our search bar to look for anything more specific.
